You watch your child angle a toothbrush across tiny grooves. The bristles miss deep pits despite careful swipes. Your own last filling still feels new and annoying. You wonder if there is a simpler shield. You want something painless, quick, and cost saving. Sealants fit that wish surprisingly well.
What is a dental sealant?
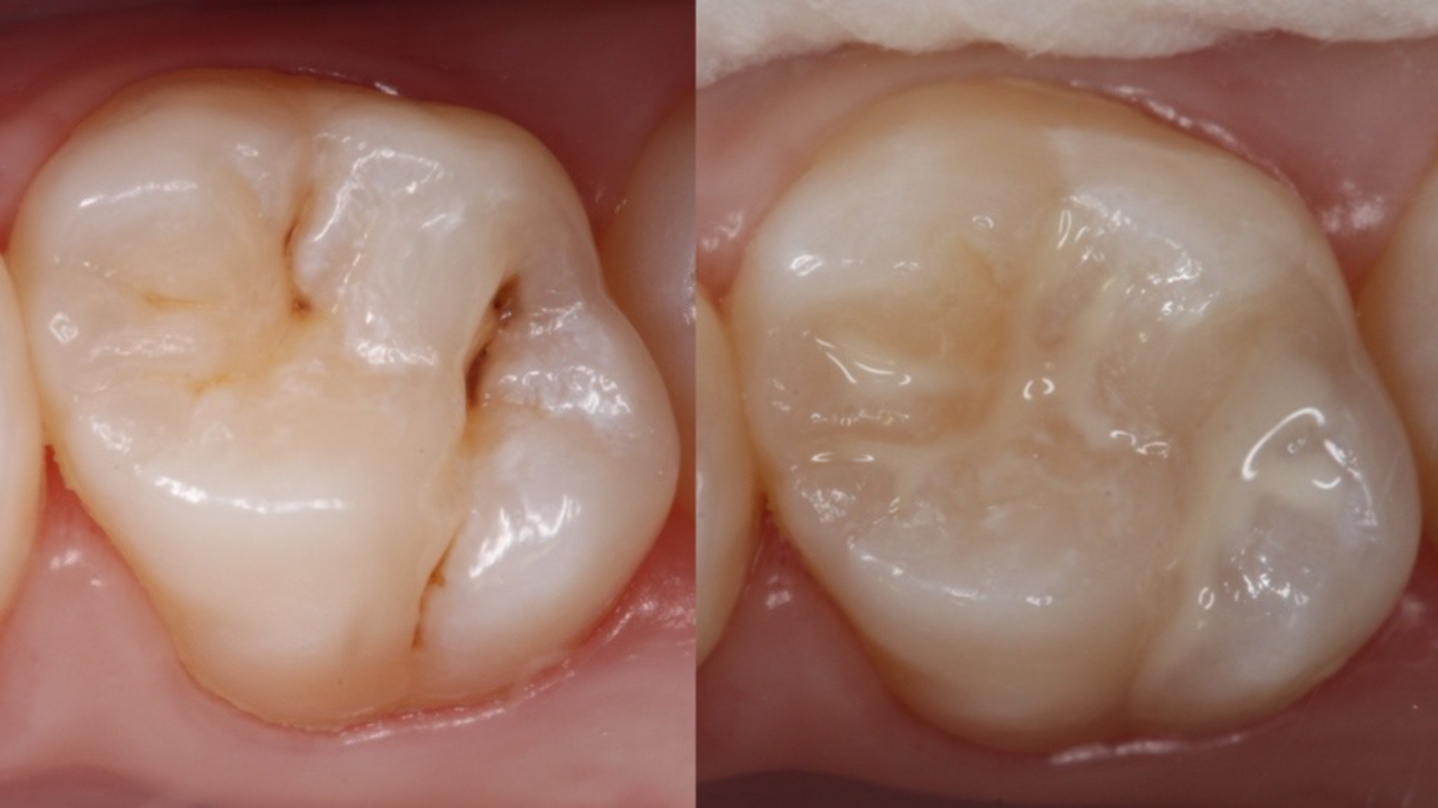
A dental sealant is a clear or shaded protective coating. It flows into the grooves of molars and premolars. The coating hardens to create a smoother chewing surface. Food and bacteria struggle to settle in those pits. The result is fewer cavities on those vulnerable spots. Dentists recommend them for specific teeth at higher risk. The approach supports everyday brushing rather than replacing it.
How does a sealant work?
Molars have microscopic ridges and valleys. Plaque hides in those valleys after meals. A sealant fills the valleys like careful grout. Once cured, it forms a tight physical barrier. Acids cannot reach enamel as easily anymore. The surface becomes easier to clean with routine brushing. That mix of barrier and hygiene gives reliable protection.
Who benefits the most?
Children benefit because first molars erupt around age six. Second molars usually follow near age twelve. Fresh enamel is not yet battle tested. Habits are still forming in busy school years. Sealants support good habits without scolding. Adults benefit when decay risk rises from dry mouth. People with deep grooves also gain long term.
Why do molars need extra protection?
Chewing teeth handle sticky, starchy foods daily. Their complex shapes collect plaque and sugars. Fluoride helps enamel, yet grooves remain tricky. Sealants flatten the terrain just enough. Brushes glide across the treated area effectively. That small design change reduces everyday risk significantly. Prevention feels smoother during school and work weeks.
Are sealants safe for children?
Sealants are considered safe when properly placed. The material sits on the enamel surface only. It does not reach the tooth nerve or pulp. The procedure is painless and does not require drilling. Children tolerate it well with gentle coaching. Parents appreciate the speed and low fuss experience. Safety improves further with well trained teams and checks.
What about adults with higher risk?
Adults experience changing saliva and medication effects. Some medicines reduce saliva flow noticeably. Dry mouth increases cavity risk on chewing surfaces. Sealants can protect grooves while habits adjust. They also help during stressful work seasons. Many adults choose sealants before big orthodontic plans. The shield keeps routine simpler during busy months.
How is a sealant applied?
The dental team cleans the tooth carefully first. A gentle gel prepares the enamel for bonding. The tooth is rinsed and kept very dry. The sealant flows into grooves with a small brush. A blue light hardens the material within seconds. The dentist checks the bite for comfort. The appointment ends without injections or drilling.
Does fluoride replace sealants?
Fluoride strengthens enamel across the entire surface. Sealants directly block decay in targeted grooves. They address two different layers of protection. Using both creates a strong prevention plan. Fluoride remains vital for all teeth, every day. Sealants specifically guard those hard to reach pits. The combination supports fewer surprises between checkups.
How long do sealants last?
Well placed sealants can last several years. Many remain useful for four to eight years. Some need earlier touch ups after heavy chewing. Dentists check them during routine visits. Tiny repairs are quick and comfortable to perform. Replacement is straightforward when material thins over time. Consistent checks keep the protection reliable.
What do costs look like generally?
Sealants usually cost less than a filling. The visit is shorter and less complex. Insurance plans often cover children’s sealants. Community clinics sometimes run school programs. Adults may pay out of pocket but still save. Avoided fillings mean fewer future appointments. That financial ripple matters for busy families.
What if a sealant chips?
Chips can occur with hard or sticky foods. You might feel a slight rough edge. Dentists can smooth or repair the area easily. The tooth remains protected if most remains intact. A full replacement is quick when needed. Call your clinic if something feels different. Early checks keep small issues small.
How do sealants affect bite comfort?
A fresh sealant can feel slightly different at first. Dentists refine high spots during the visit. Your bite should feel normal by evening. Chewing patterns adjust within a day or two. If something feels off, ask for a check. Small adjustments restore a natural, even bite.
Which materials are used today?
Most sealants use resin based materials. Some clinics choose glass ionomer in specific cases. Resin offers strong wear resistance on molars. Glass ionomer can release fluoride slowly. Dentists match material to tooth and patient needs. Concerns about trace compounds are routinely reviewed. Current practice focuses on safe placement and monitoring.
How do dentists decide candidacy?
Dentists assess decay history and grin patterns. Deep grooves and staining suggest higher risk. Saliva flow and diet also inform decisions. Orthodontic plans and sports habits matter too. Each factor paints a practical risk picture. The final choice balances benefit and maintenance. Shared planning produces better long term follow through.
What should parents ask during visits?
Ask which teeth show the highest risk. Ask when first molars are ready for placement. Ask how long your child should keep the area dry. Ask when food and drinks are okay again. Ask how repairs and checks will be handled. Clear questions make home routines easier. Confidence grows when everyone understands the plan.
How do sealants fit with braces?
Brackets complicate brushing for many students. Plaque collects around wires and hooks. Sealants protect grooves while alignment progresses. Timing matters before or after bracket placement. Teams plan around key orthodontic milestones. The goal is steady hygiene during alignment. Coordination prevents surprises and repeat appointments.
Where do school programs make a difference?
School sealant programs reach children at higher risk. Nurses and dentists coordinate consent and timing. Portable equipment handles gym or classroom setups. Families appreciate the convenience and low cost. Regions with programs report fewer molar cavities. Health ministries often highlight these results publicly. Communities see long term benefits in attendance.
What myths should we ignore?
A sealant does not trap decay underneath. Dentists clean and inspect before they place. A sealant cannot replace daily brushing. It does not remove the need for fluoride. It will not change tooth color permanently. It also does not weaken the enamel. Myths fade when placement is careful and checked.
How should you care after placement?
Avoid very sticky candy for the first day. Keep brushing and flossing as usual. Pay attention to the chewing feel that week. Call if something feels sharp or high. Schedule regular checks every six months. Sealants stay effective with simple care. Good home habits do most of the work.
What signals show a sealant needs attention?
You might notice a catch while chewing. Food sticks on one side repeatedly. A fingernail feels a chipped edge sometimes. Cold water triggers a brief odd sensation. The tooth looks uneven in bright light. These small clues deserve a quick check. Fast repairs preserve the original protection.
How does diet influence success?
Frequent sugary snacks feed bacteria in grooves. Sealants help, yet habits still matter. Choose water over sweet drinks between meals. Keep crunchy vegetables in daily lunches. Limit long sipping on sugary coffees. Rinse with water after occasional desserts. Practical choices support the sealant’s daily job.
Why do regular visits still matter?
Sealants reduce one part of risk. Gum health and between teeth need attention. Professional cleanings remove stubborn buildup safely. Fluoride treatments strengthen enamel after polishing. X rays monitor areas sealants do not cover. The whole mouth benefits from scheduled care. Prevention remains a team effort year round.
What about sensitive gag reflex or anxiety?
Sealant visits are short and calm. Teams can use gentle desensitizing approaches. Distraction and breathing help children cooperate. Adults appreciate clear step by step explanations. Breaks are easy between application stages. Comfort goals guide pacing and communication. Positive experiences build confidence for future visits.
How does saliva quality affect outcomes?
Healthy saliva buffers acids throughout the day. Some medicines reduce saliva noticeably. Reduced flow increases cavity risk in grooves. Sealants add a layer of protection during dry spells. Sugar free gum can stimulate flow temporarily. Hydration supports saliva and comfort between meals. Your dentist can suggest tailored steps.
According to our editor’s research, what patterns help?
According to our editor’s research, timing shapes success. Families who place sealants soon after eruption do better. Schools with annual checks keep coverage high. Clinics that track repairs reduce new fillings later. Teen athletes maintain sealants when mouthguards fit well. Simple follow up routines drive most of the benefit.
As a result of our editor’s reviews, what works smoothly?
As a result of our editor’s reviews, small systems matter. Reminder texts keep six month checks on track. Colored charts help children remember protected teeth. Travel families pair checks with school breaks. Community clinics streamline consent for siblings. These simple touches prevent missed protective windows.
How do sealants compare with fillings over time?
A filling treats damage after decay occurs. A sealant prevents damage on targeted surfaces. Fillings remove tooth structure during treatment. Sealants leave enamel intact entirely. Prevention preserves strength and saves chair time. Many families prefer avoiding the drill. Sealants support that preference with practical results.
Where should adults start the conversation?
Bring your risk history to your next hygiene visit. Ask which molars still show deep pits. Discuss dry mouth symptoms from medicines. Consider sealants before stressful work seasons. Ask about material choices for your case. Clarify check schedules for repairs and wear. Shared planning fits busy calendars better.
What should teens and students know?
Newly erupted molars need early attention. Sports drinks can raise decay risk quickly. Braces create additional plaque traps daily. Sealants reduce one major groove risk. Brushing must continue morning and night. Fluoride toothpaste remains essential every day. A mouthguard protects teeth and sealants during games.
How do clinicians measure quality placement?
They inspect the sealant’s coverage under strong lighting. They test the bite with colored paper. They confirm dryness was maintained throughout placement. They note the material type and batch. They plan follow up checks at routine intervals. They document repairs and longevity across visits. Careful documentation supports better outcomes.
What if you already have small stains?
Stains can sit on grooves without active decay. Dentists assess with explorers and radiographs. Many stained grooves still qualify for sealants. The barrier stops deeper progression over time. Your clinician will explain the decision clearly. Regular checks confirm the strategy is working well. Early action prevents larger future work.
How does community guidance support families?
Dental associations publish preventive care advice regularly. Health ministries highlight school sealant outcomes. Public programs often prioritize higher risk children. Local clinics tailor messages for regional diets. Occupational groups address adult risks at work. These organizations emphasize practical, realistic steps. Families benefit when messages stay simple and consistent.
